Pour suivre l'actualité du centre hospitalier, lisez nos newsletters et abonnez-vous.
Pour vos règlements : 01 39 21 54 10
Pour vos questions : 01 39 27 47 81
ACCUEIL / NOTRE OFFRE DE SOINS / Chirurgie orthopédi… / Chirurgie de l’épaule
Pôle CARE (chirurgie, anesthésie, réanimation, endoscopie)
Chef du pôle : Docteur Isabelle FLIGNY-GRANIER
Cadres du pôle : Sofia GIRAUD et Louisette GAILLARD

|
Responsable de service bi-site : Docteur Nacer DEBIT |
L’épaule est une articulation située entre l’humérus et une cavité sur l’omoplate, appelée glène. La glène est entourée par un cartilage qui agrandit la surface de contact entre elle et l’humérus, ce cartilage s’appelle le bourrelet. L’ensemble de l’articulation est entourée par une poche (la capsule) puis par les muscles de la coiffe des rotateurs. L’épaule pour des raisons anatomique est l’articulation du corps qui se luxe le plus facilement : l’emboîtement est très limité (25 à 35 % de contact entre les 2 os) et les ligaments sont faibles et souvent détendus. Les luxations d’épaule concernent 1,7% de la population.

Une luxation correspond au “déboîtement“ de l’articulation (lorsque le déboîtement est partiel on parle de subluxation). Dans 95 % des cas la luxation se fait vers l’avant, on parle de luxation antéro-interne. Dans quelques cas celle ci se fait en arrière, notamment lors de crises d’épilepsie, et parfois chez les patients hyperlaxes dans plusieurs directions, on parle d’instabilité multidirectionnelle. Nous n’évoquerons que les luxations antéro internes. L’avant soit par un mécanisme forcé du bras en abduction/rotation externe (position d’armé du bras) soit par une chute sur la main, corps en rotation. Une tierce personne doit alors réduire l’épaule par manœuvres externes. La première luxation survient dans 77 % chez les hommes, entre 20 et 35 ans.
Lors de l’accident, en se déboîtant, la tête arrache le bourrelet vers l’avant et détache la capsule habituellement fixée sur l’os. Une fracture du bord antéro inférieur de la glène peut survenir. L’absence fréquente de cicatrisation de ces lésions favorise alors les récidives, on parle d’instabilité. Plus la première luxation survient tôt, plus le risque de récidive est élevé. Par exemple lorsque la première luxation survient à 20 ans statistiquement le risque de récidive est de 50 %, après 40 ans les récidives sont rares. Les récidives surviennent essentiellement dans les 2 premières années après l’accident. Le traumatisme est de moins en moins important au fil des récidives avec même parfois luxation au cours du sommeil.

L’interrogatoire recherche et analyse les épisodes de luxations ou subluxations. L’instabilité ne correspond pas toujours à des luxations récidivantes mais parfois à des subluxations douloureuses, onparle alors d' »épaule instable et douloureuse“. Dans tous les cas, l’examen du patient retrouve une forte appréhension lorsqu’on porte le bras en abduction/rotation externe, celui-ci a l’impression que l’épaule va se déboîter. Si l’examinateur fait le même mouvement en faisant avec l’autre main un contre appui en avant de l’épaule, la sensation d’instabilité disparaît (test de recentrage positif). On recherchera également des signes d’hyperlaxité au niveau des autres articulations et d’éventuelles complications : atteinte du nerf axillaire, lésions vasculaires, rupture de la coiffe des rotateurs (plus fréquente à partir de 40 ans et chez 80 % des patients après 60 ans).

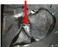
La radiographie est l’examen de base, en sachant que normale, elle n’élimine pas le diagnostic. On y voit souvent les traces des anciennes luxations : une fracture du bord antéro inférieur de la glène, un simple émoussement de celle ci, une encoche à la partie postérieure de la tête humérale signant son impaction lors d’une luxation (encoche de Malgaigne). Les signes cliniques évocateurs suffisent à porter le diagnostic. Une radio de l’épaule luxée lors d’un accident est très utile pour confirmer le diagnostic. Si le tableau est atypique d’autres examens sont utiles :
![]() |
![]() |
|
Rx de la luxation |
Lésion du bourrelet à l’IRM |
Le traitement de l’instabilité avérée est essentiellement chirurgical. L’intervention se déroule lors de 1 à 3 jours d’hospitalisation en fonction des techniques. La chirurgie conventionnelle, 2 grandes familles d’interventions sont possibles :
![]() |
![]() |
Réinsertion par ancre de la capsule et du bourrelet sur l’os
Toutes ces techniques doivent faire partie de l’arsenal thérapeutique du chirurgien de l’épaule et le choix se fait en fonction du type d’instabilité. De façon schématique, les butées sont plutôt réservées aux patients jeunes, sportifs ayant de nombreux et vrais épisodes de luxations et ce d’autant plus qu’il existe une fracture de la glène, un éculement ou une encoche importante. L’intervention de Bankart est réalisée de préférence par arthroscopie et est réservée plutôt aux épaules instables et douloureuses, chez des patients peu sportifs, de sexe féminin (cicatrices minimes).
Les pansements sont faits tous les 2 jours pendant 15 jours. Le bras est immobilisé dans un gilet en position “coude au corps“ pour 3 semaines puis en simple écharpe pour 3 semaines supplémentaires. Une rééducation douce est débutée à la 3e semaine en évitant la rotation externe, elle est plus complète après 6 semaines. Les sports à risques sont repris vers le 4e mois.
Les complications spécifiques :
Les complications non spécifiques :
Cette pathologie a été décrite dès 1878 par Panas et vers 1958 les paralysies cubitales de la main ont été regroupées sous l’appellation du syndrome de tunnel cubital par analogie au syndrome du canal carpien. Le mécanisme de compression du nerf cubital au coude est très différent de celui du nerf médian au poignet : ce nerf passe en arrière de l’axe de rotation du coude dans la gouttière épitrochléo-olécranienne puis s’engage sous diverses arcades fibreuses à la partie haute de l’avant bras sur son versant interne. Le nerf cubital et tendu en flexion du coude et il est donc en situation d’étirement : normalement il doitpouvoir glisser facilement pour pouvoir adapter sa longueur lors des mouvements de flexion extension.
Tout mécanisme qui empêche ce nerf de coulisser normalement va provoquer des signes de souffrance du nerf qui se traduira par des signes cliniques (que nous verrons plus loin) : le nerf est en règle bloqué par une arcade fibreuse et ne peut plus coulisser ; lors de mouvements de flexion et extension il est donc soumis à un étirement qui altère sa structure cellulaire. Les causes de compression du nerf cubital au coude sont variables : elles surviennent dans plus de la moitié des cas dans les suites plus ou moins lointaines de traumatismes de la région du coude (fracture, hématome, compression posturale…). Dans de nombreux cas cette compression est dite idiopathique (sans raison précise).
Les manifestation ressenties par le patient :
L’examen clinique
Il recherche des signes sensitifs et/ou moteurs témoins d’une atteinte du nerf cubital :
Il faut palper le nerf cubital dans la gouttière et vérifier s’il ne déjante pas en flexion.
Les radiographies standards du coude à la recherche d’une séquelle de fracture, d’une arthrose. L’électromyogramme est l’examen clé, il doit être fait de façon rigoureuse. Il a pour principe de mesurer la vitesse de conduction par le nerf d’une stimulation électrique : le nerf se compare à une autoroute ; la vitesse de conduction de l’influx dépend le la liberté de l’autoroute. En cas d’accident ou de bouchon, l’influx nerveux est ralenti : cet examen permet de confirmer le diagnostic (diminution de la vitesse de l’influx lors du passage du coude) et de quantifier l’importance de la compression (étude de la trophicité des muscles innervés par le nerf).
Il est chirurgical en règle ; les compressions qui ne régressent pas spontanément doivent être opérées. Il existe plusieurs techniques de décompression : il faut lever la zone de compression et vérifier que le nerf peut coulisser facilement. On peut pratiquer soit :
La levée chirurgicale d’une compression persistante du nerf cubital au coude doit permettre une disparition complète des signes cliniques. Mais il n’en est pas toujours ainsi (ce qui différentie cette pathologie du syndrome du canal carpien) : en effet il peut persister après la libération chirurgicale des fourmillements plus ou moins importants des deux doigts internes et/ou une perte de force. Ceci est la conséquence des compressions anciennes mais peut être également constaté dans les suites des compression apparemment récentes : c’est dire la valeur de l’électromyogramme qui permet de préciser avant l’opération si la symptomatologie clinique est liée à l’évolution d’une compression chronique infra clinique qui peut s’être décompensée récemment (analogie à une corde qui frotte sur une arrête et qui lâche après la rupture de toutes ses fibres).
Il s’agit de l’apparition en arrière du coude, d’une tuméfaction ronde qui correspond au gonflement d’une bourse habituellement vide. Cette bourse séreuse est une cavité close qui facilite le glissement de la peau sur l’os lors de la flexion du coude. Cette poche peut s’enflammer, les parois fabriquent alors du liquide synovial et la tuméfaction apparaît : on parle d’hygroma ou de bursite.
![]() |
![]() |
Cette inflammation est souvent due à de petits traumatismes répétés, l’hygroma touche alors des sujets plutôt masculins dont l’âge moyen est de 35 ans. Un rhumatisme peut également être à l’origine (polyarthrite…), une pathologie à microcristaux comme la goutte ou une infection virale. Enfin une cause toujours à éliminer est l’infection qui débute souvent à partir d’une petite lésion cutanée.
La tuméfaction apparaît relativement rapidement et sa taille est variable, elle peut mesurer jusqu’à 10 cm. Il s’agit d’une poche bien mobile, non adhérente, peu douloureuse sauf à la pression appuyée. Le coude est bien mobile et non douloureux. Lorsque cette tuméfaction est rouge, chaude, douloureuse avec une lésion cutanée en regard et des ganglions, nous sommes en présence d’une bursite infectée.
Le seul examen utile est une radiographie, le diagnostic est essentiellement clinique. La radiographie permet parfois de voir une “épine olécranienne“, saillie osseuse en arrière de l’olécrane responsable d’une irritation chronique. Lorsqu’il existe un doute sur une bursite infectieuse, une prise de sang est faite pour confirmer qu’il existe un syndrome inflammatoire. La ponction à la recherche d’un germe dans ce contexte peut-être utile avant de débuter un traitement antibiotique.

Épine olécranienne
Devant un hygroma les traitements sont nombreux mais peuvent être hiérarchisés de la façon suivante :
La chirurgie est rarement nécessaire, elle est réservée aux formes rebelles aux autres traitements. La bourse est excisée par voie postérieure et une attelle est mise en place quelques jours pour diminuer le risque de récidives. La ponction évacuatrice est souvent vouée à l’échec, l’hygroma se reforme aussitôt et les infiltrations de cortisone transforment parfois l’hygroma en bursite infectée. Devant une bursite infectée, au stade débutant une traitement antibiotique peut-être débuté après prélèvements bactériologiques. Mais le recours à la chirurgie doit être rapide devant l’absence d’amélioration en quelques jours.
Les complications génériques de la chirurgie
Infection, désunion cutanée, raideur post opératoire et algodystrophie n’ont rien d’original.
Les complications spécifiques
Elles sont liées essentiellement à deux risques :
Les patients se plaignent alors de douleurs et/ou d’impossibilité de lever le bras. La survenue des symptômes se fait à partir de 50 ans avec une plus grande fréquence entre 60 et 70 ans.
La rupture de la coiffe des rotateurs est souvent le stade ultime d’une tendinite de la coiffe des rotateurs. En effet, avant de se rompre, les tendons frottent sous l’acromion (bec osseux se situant juste au-dessus de l’épaule) réalisant le classique tableau de conflit sous-acromial.

Frottement des tendons sous l’acromion
Les patients se plaignent alors de douleurs de l’épaule souvent insomniantes. Ils ne peuvent plus dormir sur l’épaule souffrante. Durant la journée, les gestes de la vie quotidienne deviennent parfois difficiles et douloureux surtout quand le patient veut lever le bras. Au stade de la rupture, il arrive que le patient ne puisse plus lever le bras. Heureusement, fréquemment le patient peut tout de même lever son bras en compensant par d’autres muscles au niveau de l’épaule. Les motifs de consultation les plus fréquents sont la douleur et la difficulté à lever le bras.
Le premier examen à réaliser est la radiographie standard. On pourra apprécier l’existence d’arthrose, d’un bec acromial agressif (frottant sur les tendons) et d’autres signes indirects de tendinites ou de rupture de la coiffe des rotateurs. Pour confirmer le diagnostic de rupture la coiffe des rotateurs, il est nécessaire de réaliser une échographie, un arthroscanner ou une IRM de l’épaule. Ces examens vont confirmer le diagnostic et évaluer la taille et la gravité de la rupture. On pourra alors savoir si la rupture des tendons de la coiffe des rotateurs est réparable ou non.
Le traitement commence avant tout par de la rééducation de l’épaule. Cela permet dans la majorité des cas de soulager partiellement des douleurs et surtout d’obtenir une épaule souple, condition indispensable pour pouvoir réaliser une intervention chirurgicale. Le traitement médical consiste en l’association d’antalgiques et d’anti-inflammatoires associés à un protecteur gastrique. L’infiltration de produit à base de cortisone permet également d’obtenir un soulagement des douleurs.
Quand ce traitement est inefficace ou quand la rupture menace de s’agrandir dans le temps, il faut alors réparer la rupture chirurgicalement. Le traitement chirurgical consiste à nettoyer l’articulation de l’épaule de l’inflammation résiduelle, à raboter un bec acromial qui frotte sur les tendons et bien sûr à réparer les tendons rompus. Deux méthodes existent avec le même objectif : réinsérer les tendons sur l’humérus. La première méthode est classique et se fait à ciel ouvert. L’autre est plus récente et consiste à utiliser une caméra par une incision de 1 cm et d’utiliser des instruments spécifiques permettant de travailler sans ouvrir l’épaule : l’arthroscopie. Les tendons sont réinsérés sur l’humérus en utilisant de petites ancres.

![]() |
![]() |
L’intervention se déroule sous anesthésie locorégionale complétée par une anesthésie générale dans la majorité des cas. La durée d’hospitalisation est de 24 à 48 heures.
L’arthroscopie permet de limiter les douleurs post-opératoires. L’opération est suivie d’une immobilisation de 1 mois, le bras contre le corps puis de 6 mois de rééducation. La récupération d’une excellente mobilité d’épaule est longue et peut parfois prendre 1 an. Les douleurs cèdent 3 à 4 mois après l’intervention chirurgicale, correspondant au temps de cicatrisation des tendons et à la disparition de l’inflammation locale.
Il y a peu de complications après ce type d’intervention. Cela peut être un échec de la réparation, des douleurs incomplètement soulagées ou une mobilité partiellement retrouvée. Comme toute intervention chirurgicale, peuvent survenir une infection, un hématome post-opératoire ou une algodystrophie. Les patients se plaignent alors de douleurs et/ou d’impossibilité de lever le bras. La survenue des symptômes se fait à partir de 50 ans avec une plus grande fréquence entre 60 et 70 ans. Les douleurs cèdent 3 à 4 mois après l’intervention chirurgicale, correspondant au temps de cicatrisation des tendons et à la disparition de l’inflammation locale.
C’est une inflammation des tendons du pouce responsable de douleurs sur le bord externe du poignet lors de l’utilisation du pouce. Cette inflammation est liée au frottement des tendons du long abducteur et du court extenseur du pouce dans sa coulisse située sur le bord externe du poignet.
Cette pathologie touche dans la grande majorité des cas les femmes autour de 40 ans en moyenne (entre 20 et 65 ans). Elle est liée à des mouvements répétés du poignet et du pouce.
Cette pathologie est responsable de douleurs du poignet sur son bord externe augmentée par l’utilisation du pouce. La douleur est reproduite par la palpation du bord externe du poignet en regard des tendons du long abducteur et du court extenseur du pouce. Parfois une tuméfaction est visible sur le bord externe du poignet, liée à l’inflammation des tendons. Les douleurs cèdent lors de la mise au repos du pouce. La manœuvre de Finkelstein signe le diagnostic. Cette pathologie est parfois associée à un syndrome du canal carpien.
Signe de Finkelstein : douleur sur le bord externe du poignet (flèche)
Aucun examen complémentaire n’est nécessaire. Le diagnostic est clinique. L’échographie montre un épanchement dans la coulisse et un épaississement des tendons. La radiographie du poignet est normale. En cas de doute diagnostique, une IRM peut être pratiquée. Elle montre alors un hyper signal autour des tendons du pouce en hyper signal autour des tendons du pouce par IRM.
Le traitement débute par la mise au repos du poignet et du pouce par une attelle de port nocturne ou lors des activités professionnelles. On y associe des antalgiques et des anti-inflammatoires non stéroïdiens en cas de non contre-indication. Si cela n’est pas efficace on peut réaliser une infiltration d’hydrocortisone. Le traitement médical est efficace dans 90% des cas.

Taille de la cicatrice
En cas d’inefficacité du traitement médical après 6 mois, une intervention chirurgicale est envisagée. L’intervention consiste en l’ouverture de la coulisse sur le bord externe du poignet permettant aux tendons du long abducteur et du court extenseur du pouce de coulisser. L’intervention se déroule en ambulatoire (le patient ne dort pas à l’hôpital), sous anesthésie locale ou locorégionale (l’anesthésie générale est pratiquée uniquement en cas de contre-indication à l’anesthésie locale ou si le patient le souhaite). L’incision mesure 2 cm sur le bord externe du poignet.

Taille de la cicatrice
Le patient sort de l’hôpital avec un pansement à changer 2 fois pendant 2 semaines (temps de cicatrisation de la peau). Le patient mobilise les doigts immédiatement après l’intervention. Une attelle amovible de poignet prenant le pouce est à conserver pendant 3 semaines. Les douleurs de tendinites cèdent rapidement. La guérison est obtenue dans 90 % des cas au 3e mois postopératoire.
L’arthrose correspond à l’usure du cartilage de la tête de l’humérus parfois associée à une usure du cartilage de la glène de l’omoplate.

Usure du cartilage de la tête de l’humérus
L’arthrose peut être la conséquence d’un traumatisme ancien (arthrose post-traumatique), d’une rupture massive de la coiffe des rotateurs (arthrose excentrée), par usure des tendons permettant l’élévation des bras, d’une maladie inflammatoire comme la polyarthrite rhumatoïde.
L’arthrose est responsable de :
On réalise une radiographie standard d’épaule.

Radiographie de l’épaule
Cette radiographie permet de voir l’usure du cartilage et les déformations osseuses liées à l’arthrose : ostéophytes ou géodes (en jaune sur la photo précédente).
La radiographie permet également de confirmer le diagnostic de la cause de l’arthrose (polyarthrite rhumatoïde, nécrose, rupture massive de la coiffe). On réalisera également un scanner dans le cadre d’un bilan préopératoire pour juger de la quantité d’os restant afin d’y implanter une éventuelle prothèse. L’IRM ou arthro-TDM peut-être utile pour juger de la qualité des tendons de la coiffe des rotateurs.
Dans un premier temps, on essaie le traitement médical associée à de la rééducation (il s’agit d’antalgiques et d’anti-inflammatoires non stéroïdiens). Quand ce traitement n’est plus efficace, on peut réaliser des infiltrations d’Altim. En cas d’échec des différents traitements, on envisagera une prothèse d’épaule. Une prothèse sert à remplacer la tête de l’humérus puisque le cartilage est usé. Elle peut également remplacer la glène de l’omoplate si celle-ci est usée. Plusieurs types de prothèses existent en fonction des causes de l’arthrose et le choix de la prothèse est fait avec le chirurgien.
![]() |
|
|
|
Prothèse inversée |
Prothèse épaule |
Radio d’une prothèse à l’épaule |
L’intervention se déroule sous anesthésie générale et/ou locorégionale. L’hospitalisation à prévoir est d’environ 2 à 5 jours.
La rééducation est un élément fondamental dans la réussite de l’intervention. Elle doit être pratiquée par un kinésithérapeute de notre équipe ou un kinésithérapeute habitué à cette chirurgie. La rééducation sera débutée le plus rapidement possible en fonction du type de prothèse implantée. La rééducation dure environ six mois.
Les douleurs disparaissent autour d’un mois et la mobilité de l’épaule est restaurée au bout d’environ six mois.
L’arthrose d’épaule est une maladie bien soulagée par le traitement médical. En cas d’échec, la prothèse est une bonne solution à condition d’être pris en charge par une équipe spécialisée. La prothèse permet de récupérer une bonne mobilité d’épaule et sans douleur dans la majorité des cas.
25/09/2020
dernière modification :