Pour suivre l'actualité du centre hospitalier, lisez nos newsletters et abonnez-vous.
Pour vos règlements : 01 39 21 54 10
Pour vos questions : 01 39 27 47 81
ACCUEIL / NOTRE OFFRE DE SOINS / Chirurgie orthopédi… / Chirurgie de la main
Pôle CARE (chirurgie, anesthésie, réanimation, endoscopie)
Chef du pôle : Docteur Isabelle FLIGNY-GRANIER
Cadres du pôle : Sofia GIRAUD et Louisette GAILLARD

|
Responsable de service bi-site : Docteur Nacer DEBIT |
L’entité « chirurgie de la main » englobe toute la pathologie qui concerne le poignet et les doigts. Les pathologies sont multiples et variées.
Les séquelles des traumatismes du carpe sont la conséquence de deux causes majeures : les instabilités intra-carpiennes et, en particulier, de la colonne externe et les défauts de consolidation du scaphoïde carpien. Ces lésions vont modifier progressivement la dynamique du carpe et cette désorganisation va entraîner une usure progressive.
Le syndrome du canal carpien correspond à la compression du nerf médian au poignet. Le nerf médian assure la sensibilité des pulpes du pouce, de l’index et du majeur. Il assure également l’innervation motrice de certains muscles du pouce, les muscles thénariens. Le canal carpien est une zone anatomique située entre les os du carpe en arrière et un épais ligament en avant, le ligament annulaire antérieur. Le nerf médian passe dans ce canal inextensible, accompagné par les 9 tendons fléchisseurs des doigts, fléchisseurs profond et superficiel de chaque doigt long et long fléchisseur propre du pouce.
Le doigt à ressaut est une affection très fréquente. Cela commence par une gêne douloureuse au niveau de la paume lors des mouvements de flexion et d’extension d’un doigt, en règle générale plus importante le matin au réveil. Tout le monde peut présenter un doigt à ressaut même les bébés, mais ce sont les femmes d’âge moyen qui sont le plus souvent atteintes. Le diabète est un facteur de risque de doigt à ressaut.
Pour comprendre l’origine du doigt à ressaut il faut connaître la disposition anatomique des tendons fléchisseurs au niveau des doigts et de la main. Ces tendons font suite au corps musculaire situé à l’avant-bras. Ils traversent la paume et se terminent à l’extrémité des doigts. Lorsque vous pliez les doigts ces tendons ne prennent pas la corde : ils sont plaqués contre les phalanges par des « poulies de réflexion », c’est-à-dire des petits tunnels, analogues au câble de frein d’un vélo qui parcourent le cadre. Ce système de tendon et de poulies est extrêmement ajusté et il suffit d’un petit épaississement du tendon même très localisé pour entraîner un blocage. C’est ce qui se produit lors du doigt à ressaut : le tendon s’épaissit localement et peut former un nodule qui a du mal à passer sous la poulie qui se trouve dans la paume de la main. L’épaississement du tendon se produit le plus souvent sans cause précise. Parfois il semble y avoir une relation avec un geste manuel répétitif mais ce n’est pas toujours le cas (par exemple : taillage de haie, découpage répétitif…). Le plus souvent il s’agit d’une inflammation chronique qui établit un cercle vicieux : le frottement du tendon aggrave l’inflammation, qui épaissit le tendon, augmentant le frottement.
Typiquement en étendant le doigt, il se produit un ressaut débloquant brutalement l’extension. Le diagnostic est alors évident. La gêne est plus importante le matin. À un stade ultérieur, il faut parfois s’aider de l’autre main pour allonger complètement le doigt le passage est alors souvent très douloureux. Le doigt peut parfois rester complètement bloqué en flexion.
Aucun a priori, il s’agit d’un diagnostic clinique. La radiographie ne montrera rien. Une échographie peut montrer un épanchement dans la gaine du fléchisseur. Une IRM montrera une inflammation du tendon et un épanchement liquidien. Ces deux examens sont la plupart du temps non utile au diagnostic.
Plusieurs traitements sont possibles :
Des adhérences peuvent se produire et limiter la course tendineuse, justifiant alors une rééducation postopératoire. Des cas d’infection responsable de phlegmons, de lésion nerveuse ou artérielle sont décrits dans la littérature mais restent exceptionnels.
Après l’intervention, il n’y a ni d’attelle ni rééducation et un simple pansement est conservé quelques jours. La récupération est généralement complète au bout de 3 semaines.
Le carpe bossu se définit par l’existence d’une tuméfaction dure, située à la base du 2e et 3e métacarpiens. Cette tuméfaction peut être acquise, plus fréquente chez la femme que l’homme, du côté dominant et survenant vers la quarantaine, dégénérescence arthrosique dont le « bec de perroquet » est palpable sous la peau. Certaines professions exposées ou certains sport (la boxe…) peuvent entraîner cette pathologie plus précocement. Cette lésion peut être parfois congénitale, en raison de l’ossification d’un noyau accessoire local, qui deviendrait douloureux (pour des raisons inconnues).
Le motif de consultation est soit « esthétique » ; c’est l’aspect de la bosse qui dérange la patiente. Cette tuméfaction peut être aussi douloureuse par le conflit mécanique qu’elle entraîne avec les extenseurs voisins. Un kyste arthro-synovial peut aussi être associé. Les patients peuvent aussi consulter pour récidive d’un kyste synovial déjà opéré.
Une radiographie standard face et surtout profil strict fait le diagnostic.
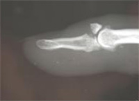
Vous remarquez que vous ne pouvez plus étendre complètement l’extrémité du doigt. La dernière phalange reste fléchie, elle « ne répond plus ». Ces constatations suffisent pour faire le diagnostic de mallet-finger ou « doigt en maillet » par analogie avec le maillet du piano. Cet accident est très fréquent au cours d’activités sportives (ballon, sports de combat) ou professionnelles. Mais le plus souvent, c’est en faisant le lit, au moment où l’on glisse les draps sous le matelas. La perte de l’extension de la dernière phalange est due à la rupture du tendon extenseur. Lors d’un mouvement de flexion forcée du doigt (choc d’un ballon ou accrochage du doigt à la face inférieure du matelas) l’étirement brutale du tendon entraîne sa rupture. Le plus souvent, cette rupture fermée ne s’accompagne ni de douleur ni d’ecchymose, et c’est la constatation de la déformation du doigt qui fait le diagnostic.

Des radiographies du doigt de face et de profil sont indispensables pour rechercher un arrachement osseux de l’insertion du tendon.

Le traitement doit aboutir à la consolidation du tendon en conservant sa longueur exacte. Pour cela, il n’est pas indispensable de le suturer par une intervention chirurgicale : il suffit que les deux extrémités du tendon soient maintenues au contact pendant toute la durée de la consolidation. Une simple attelle maintenant l’extrémité du doigt en extension suffit. Mais il faut maintenir cette position pendant toute la durée de la consolidation, c’est-à-dire un mois et demi. L’attelle doit être conservée parfaitement en place et en permanence pendant ce laps de temps. La moindre flexion du bout du doigt pendant ce délai, risque d’étirer la cicatrisation en cours, rendant ce traitement inefficace. Ce traitement est donc à la fois très simple et très contraignant :
Après un mois et demi, vous pourrez abandonner votre attelle la journée, mais il faut la remettre encore la nuit pendant un mois et demi.

La réparation chirurgicale est justifiée lorsque la tendon s’est arraché en emportant un gros fragment osseux à la base de la deuxième phalange. Ce gros fragment comporte une surface articulaire qu’il faut parfois remettre en place et le fixer chirurgicalement. Une intervention peut aussi être envisagée en cas d’échec patent du traitement orthopédique. Plusieurs techniques sont réalisables, mais la plupart du temps il s’agit d’un transfert de mobilité avec une perte d’amplitude de la flexion de P3.
A condition d’être parfaitement suivi, le traitement redonne un doigt normal dans la plupart des cas. Parfois un petit déficit d’extension persiste. Lorsqu’il est de l’ordre de 10 à 15°, il peut se corriger avec le temps (3 à 6 mois).
La maladie décrite par le Baron Guillaume Dupuytren, est liée à un épaississement de l’aponévrose palmaire, une structure située sous la peau de la paume de la main et des doigts. Cet épaississement s’accompagne d’une rétraction qui limite l’extension des doigts et peut infiltrer la peau. Habituellement, la rétraction des doigts ne s’accompagne d’aucune douleur. La maladie de Dupuytren est plus fréquente dans le nord de l’Europe et atteint plus souvent l’homme que la femme autour de 40 à 50 ans avec une fréquence de 4 à 10 % dans la population générale, en France. Très souvent, un autre membre de la famille a présenté également la maladie (père, grand-père, oncle). Certains médicaments ou l’alcool pourrait favoriser cette maladie. En plus des mains, elle peut toucher les plantes des pieds ou plus rarement d’autres parties du corps.
La maladie de Dupuytren se caractérise par de signes liés à la rétraction des téguments. Ainsi on retrouve des brides, digitales, palmaires ou digito-palmaire. Des nodules durs et des dépressions en capiton toujours dans la paume de la main. Il existe des formes avec des coussinets face dorsale en regard de l’articulation interphalangienne proximale.
![]() |
![]() |
L’atteinte commence par le 4e et le 5e doigt dans 75 % des cas mais tous les doigts peuvent être atteints avec des lésions bilatérales dans 50 % des cas. L’atteinte exclusive du 5e doigt est réputée difficile et récidivante. L’importance de l’atteinte est appréciée en utilisant la classification décrite par R. Tubiana.

Aucun examen complémentaire n’est utile car le diagnostic est clinique.
Un traitement ne doit être envisagé que si la rétraction empêche l’extension complète des doigts. Il existe un test très simple : le test de l’extension des doigts. Le principe est d’essayer de mettre votre main bien à plat sur la table. Si cela est possible, le test est négatif et aucun traitement n’est justifié. Si au contraire un ou plusieurs doigts ne s’allongent pas suffisamment pour être à plat sur la table, le test est positif et un traitement chirurgical est vraisemblablement justifié. Si votre test est négatif, surveillez l’évolution en le refaisant de temps à autre. Si le test devient positif, faites-vous réexaminer par votre médecin. Un test qui devient positif est important à dépister car l’évolution ne peut se faire que vers l’aggravation. Plus le doigt est rétracté avant l’intervention, plus il sera difficile de lui redonner une extension complète. Deux grands types de traitement sont possibles :
Les complications périopératoires grèvent le pronostic et sont responsables de troubles trophiques voire de syndrome algodystrophique dans 3 % des cas dans la littérature. La fréquence des lésions peropératoires des paquets vasculo-nerveux varie autour de 2 % mais les techniques de dissection actuelles ont permis de diminuer ce chiffre. Les lésions nerveuses directes ou indirectes se chiffrent autour de 2,5 %. Les troubles trophiques sont en fait les plus fréquents avec le risque d’hématome, de nécrose d’une partie des lambeaux cutanés, nécessitant parfois une reprise.
Il est conseillé de garder le plus possible la main surélevée et de bouger les doigts librement. Vous reverrez votre chirurgien au 8e jour pour vérifier la cicatrice. Les pansements sont très fréquents, surtout au début et variables en fonction du type de chirurgie effectuée (greffe, lambeau, Mac Cash « paume ouverte »…). Parfois il sera nécessaire de porter un appareil d’extension dynamique du doigt atteint après l’intervention (une orthèse) pour éviter une cicatrisation en flexion. Cette orthèse d’extension sera alors confectionnée sur mesure.

Elle devra être portée la nuit pendant 2 à 3 mois pour retrouver l’extension complète des doigts. Dans la journée, les doigts seront laissés libres. La rééducation avec un kinésithérapeute est fondamentale. Lorsqu’il est réalisé au bon moment le traitement chirurgical de la maladie de Dupuytren est efficace et permet de retrouver l’extension complète des doigts. Globalement les résultats dans la littérature vont de 90 % dans les stades I et II débutants à 50 % dans le stade IV qui pose le plus de problèmes. Les formes où le déficit d’extension porte surtout sur l’IPP qu’elles soient digitales pures ou palmo-digitales sont de plus mauvais pronostic. Le patient est prévenu qu’un déficit de 20/30° est fréquent quand on part de 70/80° pré-opératoire. Mais la maladie peut récidiver, ce qui est d’autant plus fréquent que l’évolution initiale a été rapide et qu’elle survient chez un sujet jeune. La maladie de Dupuytren est une maladie évolutive et la chirurgie ne fait qu’ôter les stigmates. Tous rayons et tous stades confondus le taux de récidive varie entre 41 % et 66 % dans la littérature.
La rhizarthose c’est l’arthrose de la base du pouce. Elle atteint l’articulation entre le trapèze et le premier métacarpien. C’est un problème fréquent qui atteint particulièrement les femmes de la cinquantaine et souvent des 2 côtés à des stades cliniques et radiologiques différents. Parfois l’arthrose est la conséquence d’une fracture, d’un rhumatisme ou d’une infection. Mais le plus souvent la cause exacte de l’arthrose n’est pas connue. Elle est dite idiopathique.
Le symptôme habituel est la douleur, particulièrement dans les gestes de la vie quotidienne utilisant la pince pollici-digitale (c’est-à-dire le pouce avec un autre doigt) comme tourner une clé, ouvrir un bocal, ouvrir une fenêtre. Peu à peu, l’articulation se détériore puis se sub-luxe et apparaît alors une déformation caractéristique à la base du pouce.
Les radiographies de face et de profil du pouce (incidence de Kapandji) permettent de confirmer le diagnostic clinique et d’apprécier l’importance de la destruction articulaire et la conservation d’un certain volume osseux.
![]() |
![]() |
Initialement, le traitement est toujours conservateur et médical associant le repos, les anti-inflammatoires, une attelle en plastique thermo formable sur mesure maintenant le pouce en bonne position, portée la nuit. La rééducation à visée antalgique et anti-inflammatoire (électrothérapie, ultra sons) et éventuellement une infiltration peuvent être tentées. Si ce traitement bien conduit pendant 6 mois à 1 an reste insuffisant, une intervention chirurgicale peut être envisagée. Deux grands types d’interventions sont proposés en fonction de l’âge, de la destruction de l’articulation, du travail et du côté dominant et des habitudes du chirurgien.
La trapézectomie consiste à ôter l’os malade. Pour stabiliser le pouce on associe le plus souvent une ligamentoplastie, c’est-à-dire l’utilisation d’un tendon du voisinage qui est faufilé à la base du premier métacarpien. La prothèse trapezo-métacarpienne. Cette prothèse ressemble à une mini-prothèse de hanche, avec une tête sphérique métallique qui s’articule dans une cupule trapézienne en polyéthylène ou en métal. La fixation des pièces prothétiques dans l’os fait appel soit à la régénération osseuse (prothèses non scellées) soit à du ciment (prothèses scellées).
![]() |
![]() |
Quelle que soit la technique, les risques sont à peu près identiques : irritation des nerfs cutanés, infection, descellement de la prothèse.. Ces problèmes sont exceptionnels et ne laissent habituellement aucune séquelle s’ils sont traités à temps.
Vous sortirez de la clinique le jour même ou le lendemain de l’intervention, avec une attelle maintenant le pouce « écarté » de façon à éviter les douleurs et faciliter la cicatrisation. Vous reviendrez en consultation avec votre chirurgien au 8e jour pour vérifier la cicatrice. La rééducation sera débutée plus ou moins tôt suivant le type d’intervention :
Une récupération complète peut demander 3 à 6 mois.
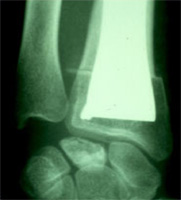
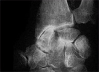
Cette maladie se définit comme une nécrose aseptique d’un des os du carpe : le carpe (ou le poignet) est constitué par un assemblage très précis de huit osselets regroupés en deux rangées sous les deux os de l’avant-bras :
Ces différents osselets -comme tout tissu dans l’organisme- sont des éléments vivants et nécessitent donc un apport sanguin nutritif qui est fourni par de très petites artères (artérioles) qui ont été bien étudiées par des dissections anatomiques et des injections radiologiques : en cas d’interruption de l’apport sanguin à l’un des ces os, il se produit une souffrance de l’os et une » mort « du tissu osseux, la nécrose. À l’état physiologique les tissus -et l’os également- sont en permanence le siège d’une destruction par un vieillissement des cellules, associée à une construction tissulaire par l’apport de cellules jeunes (ces cellules sont apportées par le sang) ; en cas de raréfaction de l’apport sanguin un déséquilibre se produit et la destruction est plus importante que la reconstruction. Apparaît ainsi une nécrose.
Au niveau du carpe, deux osselets sont le plus souvent intéressés par ces processus de nécrose :
La physiopathologie de la maladie de Kienböck n’est pas certaine encore à ce jour : il semble qu’un facteur d’hyperpression sur l’os associé à un facteur d’appauvrissement vasculaire soient en jeu. Les modifications radiologiques rencontrées chez ces patients sur le radius et du cubitus semblent plaider en faveur d’un processus d’hyperpression, mais certains patients ont une radius et un cubitus de forme et longueur normales avec un authentique Kienböck. Un facteur traumatique est en tout cas exclu.
Le diagnostic de maladie de Kienböck ne peut être posé que sur des signes radiologiques mais ces radios doivent être faites face à des signes cliniques qui sont peu spécifiques mais qui doivent faire suspecter le diagnostic : il s’agit souvent d’un adulte jeune qui présente des douleurs au poignet associées ou non à une certaine raideur et surtout une perte de force de serrage avec une douleur localisée sur le semi-lunaire.
Les radiographies standards du poignet de face et de profil peuvent être normales à un stade de début : il faut en cas de doute diagnostique, pratiquer une IRM ou un scanner ; ces examens vont montrer une différence de contraste ou des altérations osseuses en faveur d’une nécrose débutante sur le semi-lunaire.

La maladie de Kienböck est définie par ses stades radiologiques : du fait de la nécrose osseuse, se produit une modification de la structure osseuse donc des modifications des images radiologiques de cet os, elle évolue en 4 stades.

Stade III : fragmentation de l’os qui en règle générale se » brise en deux « ,

Stade IV : affaissement de l’os associé à des signes d’arthrose dans le poignet. Il faut insister sur deux anomalies radiologiques qui sont souvent présentes chez les patients souffrant de cette pathologie :
En tout cas les différences de longueur ou une mauvaise pente radiale ou une perte de hauteur du semi-lunaire (secondaire à son affaissement) ont pour conséquence une augmentation de la pression sur le semi-lunaire : ceci déterminera le choix thérapeutique.

Le traitement de la maladie de Kienböck est chirurgical : en l’absence d’un traitement chirurgical, l’évolution se fait vers l’aggravation des signes cliniques et radiologiques sans que l’on puisse donner un délai dans le passage des différents stades. Plusieurs options se rencontrent selon que le semi-lunaire sera conservé ou non : la décision de la conservation du semi-lunaire dépend de l’aspect radiologique de cet osselet, du stade évolutif de la maladie, de l’anatomie locale et des habitudes du chirurgien.
Techniques conservant le semi-lunaire
Le principe thérapeutique est basé sur la nécessité de réduire la pression qui s’exerce sur le semi-lunaire en augmentant la place de celui-ci dans le carpe: en cas de différence de longueur des deux os de l’avant bras on pratiquera le plus souvent l’égalisation de la longueur des deux os du poignet : l’intervention la plus fréquemment effectuée est la diminution de longueur du radius pour l’égaliser à celle du cubitus ; cette intervention (ou ostéotomie du radius) nécessite de couper la partie basse du radius, d’en retirer une » rondelle » et de synthéser ce radius en règle par une plaque. L’intervention d’allongement du cubitus est quasiment abandonnée.

En cas longueur équivalente des deux os de l’avant bras ; plusieurs interventions peuvent être proposées pour diminuer la pression exercée sur le semi-lunaire :
diminution de la hauteur du grand-os : cela » ouvre » la loge du semi-lunaire par le bas,
Techniques excisant le semi-lunaire
Elles sont indiquées surtout quand l’architecture du semi-lunaire est trop altérée :
Techniques » négligeant » le semi-lunaire
Elles ne sont pas dénuées d’intérêt :
Le choix de la technique chirurgicale est le problème principal de cette pathologie; ce choix dépend :
Ces interventions sont plus difficiles techniquement mais elle ont donné de bons résultats.
Il est difficile de tout envisager concernant cette pathologie : elle est rare et doit rester une « affaire de spécialiste ». Le diagnostic en est difficile et le traitement également : chaque cas est particulier et mérite une réflexion prolongée avant de décider d’un traitement précis, il n’y a pas de traitement univoque. Chaque intervention a ses avantages et ses inconvénients (qui doivent être connus par le chirurgien), des contraintes post opératoires obligatoires qui seront exposés et débattues clairement avec chaque patient.
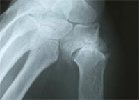
Il s’agit de tuméfactions formées d’une poche remplie d’un liquide gélatineux, développées au voisinage de l’articulation du poignet. La localisation la plus fréquente se situe à la face dorsale du poignet entre les tendons extenseurs du poignet et des doigts, du côté externe. Plus rarement, ils se développent à la face palmaire du poignet dans la gouttière du pouls radial. L’origine provient d’une dégénérescence de la capsule articulaire du poignet plus épaisse et plus résistante dans ces deux localisations.
Le kyste synovial atteint le plus souvent l’adulte jeune (20/30 ans) et de manière à peu près égale chez la femme et l’homme. Il n’épargne pas pour autant l’enfant (de plus de 4 ans) et l’adulte plus âgé (70 ans). Il apparaît habituellement spontanément sans cause particulière et augmente progressivement de volume sur plusieurs mois. Le patient ne s’en aperçoit qu’à la suite d’un traumatisme ou d’un effort violent (ce qui motive la consultation).
![]() |
![]() |
La tuméfaction peut être de petite taille, à peine visible, mais douloureuse lors des mouvements du poignet ou, au contraire, parfois volumineuse, inesthétique mais totalement indolore. Cette tuméfaction est sphérique, bien limitée, de consistance souvent ferme et plus ou moins mobile par rapport au plan sous-jacent.
La radiographie standard ne montre aucune modification osseuse. L’échographie totalement anodine confirme la nature liquidienne de la tuméfaction et surtout précise les rapports du kyste avec l’artère radiale, pour guider au mieux l’acte chirurgical. Les autres examens tels que IRM, scanner n’ont pas apportés à ce jour la preuve de leur utilité diagnostique ou préopératoire.
Elle est toujours bénigne mais totalement imprévisible. Certains kystes disparaissent spontanément ou à la suite d’une pression. Leur réapparition peut se produire dans un délai très variable (jours, mois, année). Le plus souvent le kyste augmente progressivement de volume pour devenir gênant et douloureux.
Dans la majorité des cas, les kystes synoviaux du poignet ne nécessitent pas de traitement car ils sont peu gênants et souvent de petite taille. S’ils deviennent douloureux (avec une raideur du poignet ou une nette diminution de force), ces kystes justifient un traitement. Différentes méthodes sont possibles tout en sachant que certaines exposent à des taux de récidive relativement importants :
À la 48e heure, le pansement sera refait à la clinique. Le patient reverra son chirurgien au 8e jour pour l’ablation de l’attelle plâtrée et le début de la rééducation. À 1 mois, quelques séances de rééducation sont parfois utiles si le patient n’a pas récupéré spontanément une mobilité complète de son poignet.
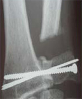
Le traitement d’un cal vicieux du poignet consiste le plus souvent en une ostéotomie, c’est-à-dire que l’on coupe le radius au niveau de la déformation, qu’on remet l’os en place dans un alignement normal et que l’on fixe cet os par du matériel qui est soit une plaque, soit une série de broches.Suivant la solidité du système, on met un plâtre pour cinq semaines ou on permet une mobilisation douce dès la première semaine. Dès que la consolidation est affirmée par les radios, on peut entreprendre une rééducation pour regagner le maximum de mouvements.Parfois, les troubles ne portent que sur la prono-supination et l’intervention porte alors seulement sur l’ulna : raccourcissement par résection (opération de Darrach ou vissage des deux os, en enlevant un cylindre d’os pour permettre le mouvement (intervention de Sauvé-Kapandji).
![]() |
![]() |
|
Ostéotomie avec ostéosynthèse |
Intervention de Sauvé-Kapandji |
La chondrocalcinose est une arthropathie de précipitation, c’est-à-dire une maladie des articulations qui est souvent confondue avec l’arthrose : des cristaux (de pyrophosphate de calcium) se forment dans le liquide articulaire et se déposent sur les ligaments et les cartilages des articulations et les détruisent. Cette destruction est comparable à celle de la goutte qui est aussi une arthropathie de précipitation due à des cristaux d’acide urique. Les localisations principales de cette affection sont le genou et le poignet. L’affection évolue le plus souvent par crises aiguës: l’articulation qui devient chaude, avec un gonflement visible et des douleurs au mouvement. Ces crises durent de quelques jours à quelques semaines et laissent parfois une articulation déformée.
![]() |
![]() |
Il arrive aussi que l’évolution soit progressive se manifestant par des douleurs articulaires et des déformations. Cette maladie débute en général après 50 ans , mais le plus souvent après 70 ans, ce qui la rend de plus en plus fréquente en raison de la longévité augmentée. Il existe des formes familiales où le début est plus précoce.
Ce sont les douleur du poignet ou du pouce avec gonflement lors des crises. L’affection peut aussi être découverte par hasard lors d’un traumatisme : pas de douleur, mais à l’examen, limitation des mouvements et de la force. Il n’y a pas de traumatisme dans les antécédents L’age est relativement avancé: 70 ans, en moyenne et l’atteinte est symétrique touchant les deux poignets et parfois les genoux. Parfois, enfin l’affection est révélée par un syndrome du canal carpien qui peut être aigu.
Les signes radiologiques sont souvent très important, même quand les signes cliniques sont modérés ou absents (formes asymptomatiques). Les signes caractéristiques sont: des calcifications, des pincements articulaires localisés ou généralisés, une sclérose osseuse, des géodes osseuses parfois volumineuses. Il n’y a pas d’ostéophytes ni de phénomènes de construction osseuse, ce qui permet de le distinguer de l’arthrose. Les trois localisations les plus typiques sont: la calcification du ligament triangulaire (unissant le radius à l’ulna (cubitus), le pincement isolé de l’articulation scapho-trapèzo-trapèzoïdienne, et l’atteinte des ligaments scapho-lunaire avec dissociation de ces deux os. Plus rarement l’articulation pisi-pyramidale et la médiocarpienne peuvent être atteintes.

Cette affection n’est donc pas une arthrose, atteinte dégénérative ou post-traumatique du cartilage et le traitement en sera donc différent. Le traitement est d’abord médical et suffisant dans la plupart des cas ; il consiste en l’immobilisation provisoire par des attelles et l’utilisation de la colchicine. Les autres médicaments comme les anti-inflammatoires et les injections intra-articulaires sont un peu moins actifs. Le traitement chirurgical est parfois indispensable quand les localisations sont relativement limitées, comme :
Quand l’atteinte est généralisée, ce qui est en général le cas des sujets de plus de 80 ans, la chirurgie n’est pas indiquée.
La chondrocalcinose est probablement la plus fréquente des maladies rhumatismales du poignet. Elle n’a pas beaucoup attiré l’attention car elle atteint surtout les sujets ages et qu’elle évolue souvent sans douleurs. Cette affection est souvent facile à diagnostiquer en raison de son aspect radiologique typique, mais elle peut être associée à une arthrose. Le traitement est nécessaire surtout quand il existe un syndrome du canal carpien, une arthrose de la base du pouce ou une instabilité douloureuse du carpe.
![]() |
![]() |
25/09/2020
dernière modification :